Jueves 18 de diciembre 2025

Llevaba dos años tosiendo y pensaban que era cáncer, pero resultó ser un ají alojado en su pulmón



1144 vistas

[Estamos en WhatsApp. Empieza a seguirnos ahora]

Un hombre de 54 años de apellido Xu, de la provincia de Zhejiang (China), quedó aliviado al descubrir que la causa de su tos persistente durante dos años no era cáncer sino un trozo de chile alojado en su pulmón, recogieron medios locales la semana pasada.

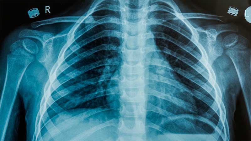
El hombre se había estado automedicando con medicinas de venta libre para la tos, pero, al no ver ninguna mejoría, a inicios de junio, acudió al Departamento de Cirugía Torácica del Hospital de Zhejiang para un chequeo. Una tomografía computarizada reveló una masa de aproximadamente un centímetro de largo dentro de su pulmón derecho, lo que hizo temer que tuviera un tumor maligno.

Finalmente, el Xu se sometió a una cirugía a través de una toracoscopia. Cuando el paciente estaba recibiendo anestesia, tan pronto como se insertó la intubación traqueal, ocurrió una escena "dramática". Un cuerpo extraño negro y rojo fue aspirado. Los médicos se sorprendieron al descubrir que un trozo de chile era lo que tenía alojado en su pulmón. Xu recordó que hace dos años se había atragantado y tosido severamente durante una comida caliente, posiblemente inhalando el chile.

Zhu Xinhai, director del Departamento de Cirugía Torácica, explicó que el chile probablemente había llegado al pulmón de Xu a través de sus vías respiratorias. El cuerpo extraño provocó un agrandamiento del ganglio linfático en su pulmón derecho y quedó "escondido" debajo del tejido, lo que dificultó su detección mediante un examen estándar.


Más contenido de #Temas

Anuncio